На данный момент для своевременного диагностирования патологий в органах мочевыделительной системы используются различные по типу воздействия методы исследования. Однако среди всего разнообразия выделяется именно рентген почек, с помощью которого можно всестороннее изучить внешнее строение и структуру парных органов. Так как процедура связана с прямым влиянием облучения на живой организм, следует относиться к ней с предельной осторожностью, придерживаясь важных рекомендаций и правил предварительной подготовки.
Кратко о том, что такое рентген
Описание рентгена зуба можно представить следующим образом: рентгенография – это диагностический метод, который позволяет исследовать внутренние структуры челюстей, определить состояние мягких и костных тканей, точно выявить глубину и степень развития воспаления или патологии. С его помощью можно визуализировать все протекающие внутренние процессы, контролировать качество и эффективность проводимых манипуляций, корректировать методы лечения и вовремя определять допущенные ошибки, ставить правильный диагноз, принимать верные решения перед выполнением вмешательств.
Важно! В идеальном варианте любому пациенту нужно проходить рентгенографию один раз в полгода, совмещая это мероприятие с профилактическим осмотром у стоматолога. Так снижается риск оставить незамеченными такие воспалительные процессы, невидимые до поры до времени, как, например, киста или гранулема. Метод поможет вовремя диагностировать и наличие ретинированного зуба мудрости в костной ткани, который без оперативного вмешательства может нанести существенный ущерб здоровью соседей и всему организму в целом.
В стоматологиях сегодня для этих целей в основном используются визиографы со специальными датчиками, которые обладают восприимчивостью к рентгеновским излучениям. В результате несложных манипуляций медицинского работника данные в виде снимка попадают на компьютер и отображаются на экране.
Что показывает рентген
Что показывает выполненная рентгенография? На сделанном снимке или на экране монитора видно состояние определенного органа. Разнообразие темных и светлых оттенков на полученном негативе позволяет врачам судить о наличии или отсутствии тех или иных патологических изменений в определенном отделе исследуемого органа.
Расшифровка результатов
Читать рентгеновские снимки может только квалифицированный врач, имеющий длительную клиническую практику и разбирающийся в особенностях различных патологических изменений в тех или иных органах тела. На основе увиденного на снимке доктор делает описание полученной рентгенограммы в карте больного. При отсутствии нетипичных светлых пятен или затемнений на мягких тканях, трещин и переломов на костях медик фиксирует здоровое состояние того или иного органа. Точно расшифровать рентгеновский снимок может только опытный врач, прекрасно знающий рентгеноанатомию человека и симптомы заболевания того органа, снимок которого делается.
На что указывают воспалительные очаги на снимке
При просвечивании мягких тканей, суставов или костей при наличии патологических изменений в них появляются характерные для того или иного заболевания симптомы. Пораженный воспалением участок иначе поглощает рентгеновское излучение, чем здоровые ткани. Как правило, такая зона содержит выраженные очаги затемнений. Опытный доктор сразу определяет тип заболевания по полученному изображению на снимке.
Как выглядят заболевания на рентгеновском снимке
При переносе изображения на пленку места с патологическими изменениями выделяются на фоне здоровой ткани. При просвечивании поврежденных костей отчетливо видны места деформаций и смещений, что позволяет травматологу поставить точный прогноз и назначить правильное лечение. Если выявлены тени на легких, это может свидетельствовать о пневмонии, туберкулезе или раке. Квалифицированный специалист должен дифференцировать выявленные отклонения. А вот области просветления в этом органе зачастую свидетельствуют о плеврите. Специфические симптомы характерны для каждого вида патологии. Чтобы поставить правильный диагноз, необходимо в совершенстве владеть рентгеноанатомией человеческого тела.
Показания к исследованию
Зачем делают рентген зуба? Этот метод дает возможность оценить состояние твердых и мягких структур, околозубных тканей, взаиморасположение зубов и корневых систем. К нему прибегают при необходимости:
- уточнить глубину, степень, характер патологического процесса при пародонтозе, периодонтите, кариесе, пульпите. Снимок также поможет узнать о новообразованиях (киста корня, гранулема),
- исключить осложнения после удаления зуба и во время проведения процедуры: на снимке будет четко видно расположение корней, их строение (операция считается сложной, если они переплетены). После удаления врач может проверить, не остались ли осколки корня внутри лунки,
- определить дефекты, аномалии прикуса и запланировать дальнейшее лечение,
- снимок будет очень актуален в тех случаях, когда стоит вопрос о задержке прорезывания зубов, когда требуется проверить, есть ли их зачатки, определить направление роста,
- проконтролировать качество и эффективность лечения: снимок поможет узнать, насколько верно запломбированы каналы, установлена пломба, имплантат, протез,
- оценить состояние, структуру, толщину костных тканей челюстей перед имплантацией и другими хирургическими вмешательствами,
- узнать особенности структуры опорных зубов перед изготовлением мостов и коронок,
- оценить характер полученной челюстно-лицевой травмы.
Важно обратить внимание на такой факт: профессиональные стоматологи в последнее время отдают предпочтение не столько рентгенографии, сколько методам компьютерной томографии челюсти. Что касается планирования такой процедуры, как имплантация, то здесь для более детального и многостороннего обследования перед лечением, для подбора наиболее эффективной и правильной тактики и метода лечения, для оценки состояния костной структуры, протекающих в ней процессов (атрофия) и для выбора оптимальной модели имплантата, врачи советуют пройти мультиспиральную томографию.
Как правило, для ее прохождения приходится покидать стены стоматологической клиники и отправляться в специализированные учреждения (оборудование для ее выполнения очень дорогое и мощное). Стоит она больше, чем рентгенография, однако так вы страхуете себя от риска возникновения малейших ошибок и неточностей.
Показания и противопоказания к домашнему обследованию
В процессе рентгеновского обследования с выездом на дом можно провести практически все виды рентгенографии, кроме методов с контрастированием. Обычно размер снимка, на который можно спроецировать изображение, не превышает 40 на 40 см.
Обычно рентген на дому вызывают, чтобы выполнить исследование бронхолегочной системы, например, когда диагноз пневмонии у пациента не выставлен, показаний для госпитализации пока тоже не выявлено, но его состояние средней степени тяжести на фоне бронхита с повышением температуры и присоединением кашля, возможно – болей в груди и появления гнойной мокроты. Тогда на дому выполняется рентген легких.
Рентген на дому может быть назначен лежачим пациентам
Кроме этого, наиболее часто выполняются снимки следующих областей:
- тазобедренного сустава при переломе шейки бедра у лежачих больных;
- голеностопного сустава при подозрении на травму;
- коленного сустава;
- исследование позвоночника при острой боли.
Конечно, прибывшие рентгенологи готовы выполнить и снимки костей черепа, и пазух носа, и лучезапястных суставов, но нужно понимать, что вызов рентгена на дом люди предпочитают делать в том случае, если они ограничены в возможностях перемещения, и это очевидно.
Противопоказания к тому, чтобы сделать рентген-исследование на дому, точно такие же, как и при стационарном исследовании, например, первый триместр беременности.
Есть еще одна особенность. Учитывая, что мощность рентгеновской трубки в переносных аппаратах все-таки недостаточно высокая, то при массе тела пациента более 120-130 кг и интенсивном развитии подкожной жировой клетчатки, визуализация некоторых подробностей (например, легочных полей) будет оставлять желать лучшего.
Как выполняется обследование
Специальной подготовки к обследованию не требуется. Перед процедурой нужно снять с себя украшения и металлические предметы.
Как делают рентген зубов, зависит от разновидности выбранного метода. Как правило, снимок выполняют непосредственно у врача-стоматолога. Процесс обследования занимает 2-5 минут. Пациента усаживают в кресло, укрывают его защитным фартуком или предлагают надеть свинцовый жилет. После наконечник аппарата направляют на нужную область и делают снимок – несколько секунд необходимо находиться в кресле неподвижно во избежание смазывания снимка. Одновременно внутри полости рта со стороны языка на зуб накладывается специальный датчик. В ряде случаев также потребуется зажать зубами специальную пленку.
Как правильно делать рентген, если речь идет об ортопантомограмме, когда требуется охватить сразу оба зубных ряда, а не одну единицу? Процедура выполняется на томографе (как правило, современные аппараты позволяют проводить и ОПТГ, и КТ трехмерную компьютерную томографию). Пациент встает рядом с оборудованием, подбородок фиксируется на специальной опоре, между зубов размещают специальный блок во избежание сжатия челюстей. Затем устройство движется вокруг головы несколько раз, выполняя снимок. На это уходит не более 2-3 минут.
«Врач направил на ОПТГ перед установкой лингвальных брекетов, нужно было узнать, есть ли периодонтит на нескольких леченных ранее зубах, посмотреть, как «поведут» себя восьмерки. Сделали все быстро, снимок получил на руки в этот же день».
Пользователь с ником ReT, фрагмент сообщения со стоматологического форума

Особенности детского рентгена
Поскольку облучение крайне негативно воздействует на неокрепшие детские организмы, рентген назначают только в случае крайней необходимости. Если под подозрением находится такой опасный недуг, как мочекаменная болезнь, детей сначала направляют на УЗИ. Однако отсутствие каких-либо результатов ультразвука уже является поводом для выписывания направления на лучевую диагностику.
За несколько дней до обследования необходимо ознакомить ребенка с особенностями процедуры и правилами поведения в момент сканирования
Рядом с маленькими детьми в момент исследования могут находиться родители или другие близкие родственники, на которых и будет лежать ответственность за неподвижность пациента и его психологическое спокойствие. Иногда, с целью успокоения, малышам перед рентгеном вводят общий наркоз.
А для того чтобы исключить аллергическую реакцию на определенные компоненты контрастного вещества, всем детям дают специальные антигистаминные средства. Препараты врачи подбирают заранее, основываясь на индивидуальных особенностях пациентов.
Основные методы рентгеновского исследования
Виды рентгена зубов бывают разными. В стоматологиях с целью исследования скрытых процессов в полости рта используют такие:
- прикусный: по-другому его еще называют внутриротовым. Название говорит само за себя – в таком случае пациенту в рот помещают специальный датчик и пленку. Все это пациенту предлагают удерживать при помощи пальца, также важно задержать дыхание на несколько секунд, пока врач будет делать снимок, для того, чтобы данные не получились смазанными. Такой вариант диагностики используют, когда требуется исследовать всего один или несколько зубов,
- прицельный: метод хорош тем, что позволяет разглядеть состояние до 2-3 рядом расположенных зубов, определить степень и масштаб поражения. Его также применяют для того, чтобы спланировать восстановление коронковой части, проконтролировать процесс лечения,
- цифровой: методика предполагает минимальную из всех возможных дозу облучения, а при проведении процедуры даже не нужно одевать свинцовый фартук. Снимок, сделанный таким способом, воссоздает трехмерную картинку. Рентген молочных зубов лучше делать именно цифровым способом, т.к. это наиболее предпочтительный и безопасный для детей вариант обследования,
- панорамный: он показан тем пациентам, для лечения которых требуется увидеть состояние всей зубочелюстной системы полностью, а не ее отдельные составляющие. Такой вид снимков выполняется на специальном аппарате. Он очень востребован в ортодонтии и ортопедии при планировании лечения прикуса, восстановления дефектов зубного ряда. Кроме того, с помощью ортопантомограммы, так называемого кругового рентгена зубов, можно хорошо оценить особенности и состояние пародонтальных карманов.
Как делают рентген почек?
Рентгенологическое исследование имеет три разновидности, каждая из которых обладает особой характеристикой. Специалист назначает конкретный метод в зависимости от проявляющихся симптомов почечных заболеваний и самого характера патологии.
Компьютерная томография
КТ проводиться на специальных аппаратах, которые также осуществляют сканирование за счет рентгеновских лучей. В момент проведения процедуры на компьютер передаются послойные срезы, отражающие диагностическую картину в более подробных деталях. Как проходит томография? Человек, оставив в специальном помещении металлические предметы, удобно располагается на кушетке, которая затем задвигается в кольцеобразное отверстие томографа.
Управляют деятельностью аппарата из смежной комнаты, контролируя процесс исследования. При осуществлении сеанса КТ нужно исключить любые движения, влияющие на четкость снимков. Когда специалист подаст сигнал, необходимо на несколько секунд задержать дыхание. Об окончании процедуры человек также будет оповещен.
Томография не требует специальной подготовки, нередко используется именно для выявления стадии развития опухолевых образований в области почки. Обладает довольно высокой ценой. При проведении сеанса человек получает дозу радиации, которая в несколько раз превышает порцию облучения одного обзорного рентгена.
Один из видов аппарата компьютерной томографии
Обзорная рентгенография почек
Речь идет об обычном черно-белом снимке, который отражает общее состояние брюшной полости: костей таза, почек, нижних пар ребер и поясничного отдела позвоночника. Исследование занимает всего несколько минут. После того как пациент снимет одежду, обнажившись до пояса, его попросят прилечь на специальную кушетку. Затем между туловищем и столом устанавливается особая кассета с пленкой.
Когда снимок будет получен, при необходимости специалист фиксирует еще одно изображение, но уже в вертикальном положении. Введение химических препаратов не требуется. Рентген без труда выявляет плотные каменные элементы крупного калибра, располагающиеся как в почках, так и в мочевом пузыре. Перед процедурой рекомендуется почистить кишечник от шлаков.
Обзорная диагностика часто представляет собой дополнительную манипуляцию в совокупности с УЗИ или магнитно-резонансной томографией.
Рентген с контрастным веществом
Подобный тип диагностики используют с целью визуализации мельчайших почечных структур, а именно канальцев, лоханок и чашечек. Проводится в специализированных медицинских центрах взрослым и детям при выявлении особых показаний. Существует несколько подвидов исследования.
| Разновидность | Особенности проведения |
| Ангиография | Ангиография предполагает введение контраста непосредственно в сосуды, отвечающие за кровоснабжение почек. При этом исследуются только они, а не структурные ткани органов мочевыводящих путей. Рентген подобного рода нередко используют с целью изучения раковых формирований, а также выявления тромбоза и атеросклероза. Процедура проводится под анестезией. Только врач определяет тип используемого наркоза – общий или местный |
| Внутривенная или экскреторная урография | Йодосодержащее контрастное вещество, например, урографин, вводят в организм через вену. Через несколько минут, после того как будет осуществлено его проникновение в труднодоступные почечные участки, производится один рентгеновский снимок (урограмма) из нескольких. Обычно за процедуру выполняется всего 3-4 снимка, между которыми установлены четкие временные промежутки Сеанс экскреторной урографии подразумевает фиксацию серии изображений почечной системы, работа которой осуществляется при циркуляции контрастирующего раствора, подсвечивающего все элементы мочевыводящих путей. Если на каком-либо участке будет обнаружен сбой при выводе мочи, рентген обнаружит это нарушение и запечатлеет его на одной из урограмм |
| Инфузионная урография | Отличительной чертой инфузионной урографии является более медленное введение контраста, благодаря которому можно детально визуализировать почечные чашечки, лоханки и ткани паренхимы. Также данный тип исследования применяют по отношению к детям, не достигшим 1 года. Связано это с тем, что нефроны малышей еще недостаточно созрели: при струйном внедрении йодсодержащего раствора в организм снимки не будут обладать хорошим качеством |
| Прямая пиелография | Наиболее четкая диагностика, которую могут проводить 2 способами: 1. Антеградный. Подразумевает введение раствора непосредственно в почку с помощью укола. Далее вещество проходит по мочевыводящим путям и по окончании сеанса естественным путем выводится из организма вместе с мочой. 2. Ретроградный. Контраст «впускают» во внутреннюю среду организма через специальный катетер, установленный в уретре. Жидкость, окрашивая мочеиспускательный канал, минует мочевой пузырь с мочеточниками и попадает в поры почек. Иными словами, осуществляется процесс, обратный антеградному. Во избежание инфицирования ретроградный метод не используют при наличии крови в моче, а также воспалительных очагов |
| Уростереорентгенография | В медицинской практике применяется достаточно редко. В момент проведения сеанса человеку делают несколько последовательных рентгенограмм, каждый раз располагая рентгеновскую трубку на 4–7 см влево и вправо. Полученная экспозиция затем просматривается специалистом через особый аппарат – стереобинокль, способный выявить туберкулез, нефролитиаз, опухоль и т. д. Так как при исследовании моча подвергается постоянному движению, получить одинаковые снимки практически невозможно – в этом и состоит причина нечастого использования уростереорентгенографии |
| Чрезкожная урография | Если доктора не имеют возможности провести определенному пациенту ни одной из вышеперечисленных процедур, на помощь приходит альтернатива – чрезкожная урография. Данная методика заключается в промывании лоханок Фурацилином и дальнейшем введении контраста с помощью подкожной пункции (укола). Как правило, к упрощенной диагностике обращаются после обнаружения у человека особых противопоказаний: непроходимости мочеточников, гидронефроза и пр. |
Диагностика с контрастированием может длиться от 15 до 60 минут в зависимости от индивидуальных показателей пациента. При определенных обстоятельствах человеку предложат проходить процедуру в положении стоя, но чаще приходится ложиться на горизонтальную поверхность. Перед исследованием нужно позаботиться о выборе более свободной одежды. Если таковой не нашлось в гардеробе, врачи, скорее всего, выдадут специальный халат. Рентген, требующий введения йодосодержащего раствора, имеет ряд абсолютных противопоказаний.
Процедура категорически запрещена для пациентов, у которых наблюдается:
- гипертиреоз;
- аллергия на основной компонент контраста – йод;
- беременность;
- почечная недостаточность;
- сердечная недостаточность;
- кормление грудью.
Рентгеноскопия – «живое» исследование органов при просвечивании их ионизирующими лучами без получения в дальнейшем каких-либо снимков. Направление на данную диагностику выдают достаточно редко. Детям, в свою очередь, она не назначается вовсе.
Дополнительные методы
Как уже отмечалось выше, несмотря на то, что рентгенография занимает достаточно устойчивую позицию и применяется в практике большинства стоматологов, прогресс не стоит на месте. Область медицины постоянно развивается, что дает врачам возможности использовать более инновационные, точные и детальные методы исследования, которые в частности применимы к сложным случаям и там, где требуется ответственный подход на всех этапах лечения. Сегодня к таким способам исследования относят компьютерную томографию, телерентгенографию, электрорентгенографию, мультиспиральную томографию, контрастную рентгенографию. Рассмотрим каждый из этих методов подробнее.
Компьютерная томография
Для реализации такого метода диагностики используют томограф. Способ представляет собой выполнение объемного снимка челюстей (3D визуализация) в цифровом формате. Лучевая нагрузка при этом минимальна, а полученное изображение позволяет оценить самые мельчайшие детали, строение, качество и состояние костной ткани и окружающих областей. КТ дает возможность рассмотреть челюсти в объемном варианте.
Снимок передается на компьютер врачу и остается там (его даже можно записать на диск для хранения информации у пациента), что обеспечивает сохранность данных и дает возможность поднять их в любой момент при необходимости, даже спустя несколько лет. Врач же в свою очередь в момент планирования лечения может успешно работать с соответствующим программным обеспечением и даже проводить ряд манипуляций: увеличивать интересующие области, изменить ракурс.
Например, в процессе планирования лечения при одноэтапных протоколах имплантации, когда пациент получает улыбку и новый протез сразу, а в придачу и возможность жевать пищу моментально, очень важно точно подобрать модель имплантата, соответствующую клиническому случаю, проработать все от и до. А компьютерная томография челюсти является отличным инструментом диагностики, который позволяет сделать это.
Метод также широко применяется при травмах челюстей, планировании хирургического вмешательства и ортодонтического исправления прикуса, при диагностике опухолей и воспалительных заболеваний. Им пользуются и при необходимости установить заболевания височно-челюстного сустава. Он незаменим при травмах и опухолях, точную картину которых трудно получить с помощью обычного снимка.
Метод электрорентгенографии
От привычного снимка, полученного в процессе рентгена, этот метод отличается несколькими особенностями:
- картинка, полученная таким путем, более четкая, высококонтрастная, на ней заметны малейшие детали и нюансы,
- впечатление «объемности» в определенной степени повышает диагностические возможности и позволяет получить качественные изображения прилежащих к зубу тканей, а значит – точно диагностировать кистозные образования, участки кровоизлияний, воспалительные процессы1,
- имеется возможность определить состояние, объем и плотность околозубных тканей.
Снимок получают на обычной бумаге в сжатые сроки – потребуется всего около 3 минут на обработку полученных таким способом данных.
Телерентгенологическое исследование
Метод телерентгенографии, в отличие от панорамного рентгена, позволяет оценить не только зубочелюстную систему, но и весь череп в профиль и фас. Этот метод считается одним из наиболее информативных и исчерпывающих. Основная область его применения – ортопедия и ортодонтия, челюстно-лицевая хирургия.
Контрастная рентгенография
Сиалография или выполнение рентгеновского снимка с контрастированием используется при необходимости оценить состояние протоков слюнных желез. Этот метод состоит в заполнении их растворами на основе йода. Как правило, такой подход позволяет диагностировать наличие конкрементов и воспалительных процессов слюнных желез, слюнокаменную болезнь.
Мультиспиральная томография
Метод можно назвать инновационным и самым прогрессивным из всех существующих. Если встретите такие названия, как МСКТ, мультисрезовая или многослойная томография – это все одно и то же. Особенность заключается, во-первых, в способе ее проведения. Для этого используется аппарат, оснащенный двумя и даже более детекторами, способными воспринимать рентгеновские лучи. При этом рентгеновская трубка за весьма короткий промежуток времени (от 30 секунд до 8 минут) выполняет большое количество оборотов, что позволяет четко визуализировать и воссоздать все протекающие процессы в 3Д изображении. Такие процессы порой просто невозможно распознать при проведении рентгена или же обычной компьютерной томографии.
Но стоит отметить, что МСКТ проводится уже не в условиях стоматологии – это дорогостоящее оборудование, которое устанавливается в специализированных центрах.
Возможные последствия
Если пациенту проводили процедуру с введением контраста, спустя определенное время, у него могут появиться неприятные симптомы: головокружение, резкое снижение показателя АД, сыпь, затрудненное дыхание, тошнота или рвота, повышенная температура, общая слабость. Подобные реакции являются редкостью и, как правило, исчезают самостоятельно через несколько часов.
Если они возникли непосредственно после окончания исследования, врач может оказать первую помощь, используя необходимые инструменты, которыми оснащены современные рентгенологические кабинеты. Длительное проявление побочных эффектов должно стать поводом для беспокойства. Пациенту необходимо как можно скорее записаться на прием к врачу и в частной беседе подробно описать симптоматику.
Насколько безопасна диагностика
Вреден ли рентген зубов? Таким вопросом задаются многие пациенты, особенно это касается тех, кто вынужден проходить несколько рентгенологических исследований за короткий промежуток времени. В целом дентальная рентгенография считается безопасной манипуляцией, поскольку доза излучения при ней очень низка – она составляет не больше 0,35 мЗв. Эта доза безопасна для человека.
Интересно! Согласно СанПиН, допускается доза облучения в размере 1000 мЗв (микрозиверт) в год. Это – норма для профилактических мероприятий, размер облучения варьируется в зависимости от того, какие конкретно диагностические задачи стоят перед пациентом и врачом. Если вы будете делать рентген постоянно, эту дозу сложно превысить – получится около полсотни пленочных или 80 цифровых снимков.
Какие патологии показывает диагностика?
Лучевая терапия является достаточно информативным видом исследования, при её использовании специалисту могут быть видны:
Подготовка к внутривенной урографии почек
- нефроптоз или опущение одной из почек;
- поликистоз и отдельные кисты;
- уролитиаз;
- форма и месторасположение камней в почках;
- гидронефроз;
- гломерулонефрит;
- доброкачественные и злокачественные опухоли;
- разрывы в области мочеточников, почек или мочевого пузыря;
- пиелонефрит;
- почечный инфаркт;
- врожденные или приобретенные аномалии строения;
- перекрытие мочеточников инородным образованием или камнем;
- туберкулез почек и пр.
Беременность и детский возраст
Несмотря на то, что в ходе рентгенографии пациенту достается незначительная доза излучения, этот метод диагностики с осторожностью назначают беременным женщинам, особенно в первом триместре, и детям младшего возраста. Вопрос о том, можно ли делать рентген зубов при беременности, решается индивидуально – врач сопоставляет пользу точных результатов диагностики с потенциальным вредом обследования.
В отношении детей применяется этот же принцип – если ребенок испытывает острую боль, существует вероятность «упустить» серьезное заболевание, а поставить диагноз без рентгена не представляется возможным, то его делают.
Рентген легких с описанием врача
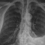
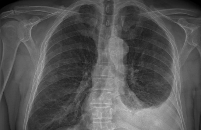
Врач-рентгенолог при описании снимка легких анализирует следующие особенности:
- изображение сердца, которое слабо пропускает лучи, отображается тенью в центральной части;
- просветления легких с обеих сторон вместе с сосудистым рисунком и корнями (тяжистые линии);
- за сердцем и легкими прослеживается тень позвоночника, по которой можно оценить нормальное его положение или наличие искривления в боковой плоскости.
Проанализировав данные, сделаем вывод, что тень на классической обзорной рентгенограмме легких имеет белый цвет, а просветление – черный.
Элементы рентгенограммы, свидетельствующие о патологии легких:
- Кальцинированные тени (очаги с отложением кальция) – при туберкулезе.
- Множественные затемнения – опухоли и пневмония.
- Усиление легочного рисунка – при бронхите.
- Повышение прозрачности – при эмфиземе.
- Плевральное затемнение с косым верхним уровнем – плеврит (воспаление плевры).
- Расширение тени сердца – кардиомиопатия, сердечная недостаточность.
- Усиленное затемнение по контуру перикарда (внешняя оболочка сердца) – перикардит, «панцирное сердце».
Рентген легких назначается врачами чаще всего с целью исключения пневмонии. По косвенным признакам на снимке можно обнаружить и другие болезни:
- гидро- и пневмоторакс (скопление жидкости или воздуха в плевральной полости);
- хронический бронхит;
- туберкулез;
- бронхоэктатическая болезнь;
- профессиональные заболевания (силикозы, талькозы, асбестозы).
Курильщиков рентген выявляет по косвенным признакам: усиление и деформация легочного рисунка, скопление в корнях кальцинатов.
Косвенные признаки заболевания на снимке отнюдь не означают наличие патологии. Для установки диагноза необходим комплексный анализ результатов клинико-диагностических методов исследований.
Вследствие этого рентген органов грудной клетки выполняется после проведения других обследований. Такой подход также применяется в целях радиационной безопасности пациента, ведь иногда получение результатов других методов исследований исключает необходимость рентгеновского обследования.
Когда назначают рентген рук?
Когда назначают рентген рук
Кисти рук самые первые реагируют на начинающиеся процессы развития ревматической болезни. Рентген проводят для выявления степени поражения мышечных тканей, хрящей, а также костных структур. Особенно это необходимо, если начался процесс кальцинации суставных тканей. В случае, если заболевание не коснулось мягких тканей, на рентгеновском фото изменения в суставе будут видны в виде уплотнений или утолщений тканей. Но проблематичным будет в данном варианте определить патологические изменения самих суставов.
Рентгенограмма кисти — это изображение руки человека, помещенной перед детектором излучения, которое получено при помощи короткого импульса излучения. Для диагностики заболевания важное значение представляет состояние сустава кисти. Многие патологические структуры, их расположение и характер видны на снимке, что дает возможность определить стадию заболевания и течение данного заболевания. Рентген суставов и костей может быть применен с различными целями:
- проверка состояния кисти при артрите и инфекции,
- выявление причины болезненных ощущений,
- выявление инородных объектов,
- проверка роста кости у детей,
- проверка суставной жидкости.
Если имеется подозрение на разрыв связок, перелом, сильный ушиб или вывих верхней конечности, то врач отправляет больного на рентген руки. На рентгенографию доктор может отправить и при необходимости проверить состояние срастающихся костей.
Если у ребенка замечено отставание либо опережение норм развития костной ткани, то также назначается рентгеновское исследование. Дети более чувствительны к радиации, поэтому рентген проводится в меньшей дозе радиации. Целесообразность проведения процедуры определяется превышением диагностического значения над риском осложнений.
Рентген рук
Влияние облучения на пациента
Обследование проводится посредством радиационного излучения. Согласно санитарным правилам и нормативам, допустимая годовая норма облучения человека не должна превышать 5 мЗВ. В случае применения устаревшей аппаратуры, доля однократного радиационного излучения составляет 0,3 мЗВ.
При прохождении цифровой рентгенодиагностики эта цифра уменьшается в 10 раз. Следовательно, в случае необходимости проведения неоднократного рентгена, диагностика не станет причиной развития патологических процессов в организме.
При каких заболеваниях показан рентген позвоночника?
Даже на современном уровне развития медицины диагностирование заболеваний с помощью рентгеновских снимков является наиболее доступным, недорогим и качественным методом определения состояния внутренних органов человека, наличия травм костей скелета и т. д. Рентгеновские лучи, проходя сквозь тело человека, фиксируют на специальной пленке или экране органы человека. Благодаря такому снимку врач может увидеть различные патологии в развитии внутренних структур тела человека и правильно диагностировать заболевание.
О преимуществах вызова рентгенолога на дом
Для маломобильных пациентов преимущества рентгена на дому очевидны
Но действительно оценить весь уровень сервиса этой услуги могут пациенты травматологического профиля. Так, вместе с рентгенологом прибывший травматолог может наложить лонгету, обезболить, а при неосложненном переломе, если не требуется оперативное вмешательство, сразу наложить гипс или пластиковую повязку.
Конечно, и в случае высокой температуры, и при симптомах интоксикации пациент не получит осложнение во время транспортировки, а если у него инфекция, то он не сможет заразить других людей, пришедших в медицинское учреждение.
Проведение рентгена
Проводится рентгенография только по назначению специалиста: в экстренных случаях или для планового осмотра. Процедура проводится быстро и без ощутимого дискомфорта для пациента. Подготовительные мероприятия способствуют получению четких информативных снимков. Неприятные ощущения зависят от температуры стола, на котором проводится исследование – тело быстро привыкает к холодной металлической поверхности. Проводится диагностика в положении сидя или лежа. Пациент раздевается и снимает украшения (если проводится диагностика шейного отдела). Металлические элементы могут исказить полученное изображение.
Для защиты организма от чрезмерного облучения используют специальный фартук, который ложится на грудную клетку пациента. Такая деталь защищает тело и минимизирует влияние рентгеновских лучей на здоровые органы. Экранирующая пластина одевается на грудную клетку и шею, если обследуется нижняя часть столба позвоночника.
Процедура с двумя поперечными снимками проводится не больше 20 минут. За это время пациент фиксирует положение тела дважды. Двухмерное изображение (спереди и сбоку) позволяет оценить масштаб проблемы.
Обследование детей
Часто рентген зуба назначается маленьким детям. Не стоит этого бояться, так как малышам такое обследование нужнее, чем взрослым. Молочные зубы подвергаются кариозным проблемам чаще, при этом кариес появляется в недоступных местах. Как и у взрослого, стоматолог не может оценить полностью состояние и глубину проблемы у ребенка. Для точной оценки ситуации, лечения и предупреждения болезней нужен рентген. Также фото молочных зубов помогает определить процесс прорезывания коренных, качество костной ткани, формирование прикуса. В детском возрасте проще всего предупредить неправильное формирование зубного ряда. Если вовремя не решить подобные проблемы, в более зрелом возрасте это будет происходить дольше и тяжелее.
Для маленьких пациентов используют только минимальные дозы облучения. Доктор выстраивает тактику лечения и диагностики так, чтобы не подвергать лишний раз облучению ребенка. Процедура происходит так же, как и для взрослых: остальная часть тела закрывается защитным фартуком, сеанс длиться пару минут, никакой боли и неприятных ощущений не возникает. Кроме этого, в некоторых клиниках используют коллиматор – трубки, которая прикреплена к аппарату. Это устройство уменьшает рентгеновский луч и меняет его контур, в результате дети получают еще меньшую долю облучения.
Виды исследований
Рентгеновские лучи получили широкое распространение в медицине. С их помощью проводят большое количество исследований, направленных на получение полного представления о состоянии человеческого организма.
Самым известным видом диагностики с использованием рентгеновских лучей является рентгенография. В результате этого исследования человеку на руки выдаётся снимок обследованного органа или части тела. Дальнейшим анализом полученных данных занимается уже лечащий врач.
MOB
Ещё один очень распространённый метод, который помогает оценить состояние лёгких человека, — это знакомая всем флюорография. В этом случае изображение органов человека получают на специальной малоформатной плёнке. Флюорография менее затратна по сравнению с рентгенографией, что делает возможным её массовое применение во время диспансеризации или профилактических осмотров.
Рентгеноскопия даёт возможность исследовать повреждённые органы через изображение, выводимое на монитор. При необходимости его можно распечатать на бумажном носителе. Для диагностики мягких тканей и полых органов используют контрастную рентгеноскопию.
Самым информативным методом, объединившим в себе возможности рентгена и современной цифровой обработки, а также позволяющим сделать реконструкцию полученных снимков, является компьютерная томография.
Особенности исследования
Снимки кистей делаются быстро и безболезненно. Никакой подготовки для исследования не требуется, на сеанс нужно взять с собой направления от доктора, который его выписал. Рентгенографию проводят в отдельном кабинете, оснащенном аппаратурой. Перед диагностикой пациент снимает украшения, чтобы они не оттеняли снимок.
Стоит предупредить доктора, если в области ладоней и запястья есть металлические вставки. Для защиты остальной части тела лаборант выдает свинцовую мембрану, которая не пропускает рентгеновские лучи.
Установка состоит из рентген-стола и стула. Пациент садится за стол и сгибает в локтях конечности, кисти кладет на стол. В зависимости от нужной зоны исследования, меняют проекцию снимков. Руки пациента могут укладывать в разных положениях, чтобы получить максимально информативные данные.
Для рентгенографии запястья используют:
- Прямую проекцию. Под ладони кладут кассету, на которой потом отразится снимок. Снимки могут делать с тыльной стороны или со стороны ладони, иногда с двух проекций сразу. Пациент принимает неподвижное положение, лаборант с помощью дистанционной кнопки делает фото. Таким образом доктор сможет рассмотреть все сегменты запястья: ладьевидную кость, трехгранную, головчатую и другие. Также видны фаланги и пястные отделы. Однако остаются несколько сегментов, которые не видны при такой укладке.
- Боковую проекцию. Руку кладут на касету боком, при этом большой палец немного выступает вперед. Такая укладка позволяет рассмотреть с другого ракурса фаланги пальцев, кости запястные и пястные.
- Косую ладонную. Для этой проекции рука пациента укладывается так, чтобы ладонь с кассетой создавала угол в 45 градусов. Важно, чтобы во время исследования рука не двигалась и не смещалась, лаборант будет следить за правильной укладкой. Снимки с такой позиции показывают кость-трапецию, ладьевидную и трапециевидную.
- Косую тыльную. В этом случае угол в 45 градусов с кассетой создает тыльная сторона руки. Таким образом лучше всего просматривается гороховидная кость, крючковатая и трехгранная.
Помимо этих способов могут использовать другие виды укладки для рассмотрения запястий. Рентгенолог может сделать прицельные снимки каждой отдельной кости. Также для отражения пальцев существую свои методы рентгенографии.
Каждая фаланга укладывается в прямой и боковой перспективе, врач может оценить состояние каждого из них отдельно. От опыта и компетенции доктора зависит точность результатов, он должен установить минимальный уровень облучения, обеспечить правильное положение пациента.
Для больного такая процедура проходит без дискомфорта, длится 5-15 минут. При необходимости доктор может сделать снимки во всех проекциях для детального и полного изучения кистей, к примеру при инфекционных болезнях нужно установить всю область поражения.
Также при травмах или нарушенном развитии нужен комплекс снимков. Независимо от того, сколько изображений надо сделать, процесс пройдет быстро и безболезненно.
С какой целью проводится рентген
Что показывает врачу рентген лёгких? Зачем он нужен?
Проекционное исследование даёт возможность определить патологические процессы, затрагивающие органы дыхания. Специалист проводит анализ интенсивности теней, охват и очертания.
- воспаление бронхов, плевры, лёгочной ткани;
- эмфизема;
- туберкулёз;
- злокачественное образование;
- отёк органов дыхания;
- перелом ребра;
- пневмоторакс и пр.
Помимо помощи в постановке диагноза, рентген лёгких обеспечивает контроль осуществляемого лечения всех патологических процессов дыхательной системы.
Рентген для беременных и кормящих женщин
Женщины в положении должны пройти стоматолога в рамках планового осмотра. Дело в том, что обструктивные и воспалительные процессы в деснах и корнях зубов могут приводить к заражению всей крови. Такая ситуация крайне нежелательна при вынашивании ребенка, поэтому беременной иногда назначают рентгенографию. Для обследования будущей мамы применяют только минимальные дозы излучения, панорамных снимков стараются не делать, заменяя их на прицельные. Однако облучение все же присутствует, что вызывает у пациенток вопрос: можно ли делать рентген беременной?
Во время вынашивания, конечно, лучше избегать такой диагностики. Производители новой техники утверждают, что она абсолютно безопасна для женщин в положении. Но отзывы врачей остаются скептичными в этом отношении. Специалисты отмечают, что на ранних сроках такой процесс противопоказан. Назначить такое обследование могут только тогда, когда болезнь угрожает жизни больше, чем рентгенография. На третьем триместре можно проводить такую диагностику без ущерба для плода. В процессе получения фото пациентке плотно закрывают грудь, шею, живот, область таза.
После родов у дам часто наступают проблемы с зубами, в основном из-за потери полезных элементов. Кормящим мамам бояться рентгенографии не стоит. Это абсолютно не влияет на структуру молока (это не касается исследований брюшной и грудной полости). Женщинам во время лактации проводят рентгенографию под защитным фартуком. Кормить ребенка после рентгена можно в этот же день.
Процедура с пробами
Функциональное исследование подходит для осмотра подвижных зон позвоночника. Сканируется тело в боковой проекции при полной неподвижности пациента. Затем больной начинает с максимальным изгибом сгибаться и разгибаться. Проводится функциональная диагностика: стоя и сидя. Такой метод исследования помогает изучить все подвижные зоны позвоночника и определить даже минимальные повреждения.
Трехмерное изображение позволяет досконально исследовать каждую область позвоночника. Проекции для диагностики: задняя, при разгибании, при сгибании. Каждая позиция должна быть зафиксирована. Пробы проводятся только в случае, когда пациент способен занять противоположные положения тела. Вместе с положением тела выбирается правильный наклон трубки аппарата.
Противопоказания для рентгенографии кисти
Лучевое обследование несет дозу облучения для пациента, поэтому больные часто пугаются этой процедуры. Однако при исследовании кистей и запястий доза очень мала, поэтому категоричных противопоказаний нет. Эту процедуру проводят даже маленьким детям, для максимальной защиты их полностью накрывают свинцовым фартуком, освобождая только руку.
Беременным женщинам все же без крайней необходимости не делают снимки, но при переломах пациентку так же накрывают мембраной. Кормящим мамам тоже проводят рентгенографию, если это необходимо.
Проведение сеанса может быть усложнено, если у пациента серьезные психические проблемы. Для получения четких снимков от пациента требуется полная временная обездвиженность, что не всегда возможно при расстройствах психики.
Также в критически тяжелом состоянии больному не могут провести такое исследование. Если рентген невозможно сделать по каким-то причинам, назначают альтернативные способы исследования.
Подготовительный этап и проведение обследования
- Раздевается выше пояса и снимает предметы из металла (часы, очки, украшения и др.).
- Убирает волосы с обследуемой области.
- Прислоняется к оборудованию.
- Делает глубокий вдох и задерживает дыхание, слушая команду доктора.
- Восстанавливает дыхание после завершения процедуры.
В процессе исследования пациенту требуется оставаться в неподвижном состоянии. Для этих целей в ходе диагностики детей применяются фиксирующие изделия и подставки.
Продолжительность процедуры — несколько секунд. Обычно прибегают к обзорной рентгенографии лёгких, выполняя снимок в прямой проекции. Больной направлен передней частью груди к матрице. Иногда пациенту необходимо встать боком, в таком случае рентген делается в двух проекциях.
В каких случаях нужен рентген
При визуальном осмотре стоматолог может увидеть примерно 40% ротовой полости. Однако большинство проблем кроется внутри: в каналах, корнях, межзубном пространстве. Поэтому большинство жалоб пациентов может быть решено только после рентгенологической диагностики.
Показания для обследования:
- кариес в любом участке челюсти, в том числе под коронкой;
- деструкция корня: переломы, трещины, истощение костной ткани;
- пародонтит – разрушение кости, при этом воспаляются и кровоточат десна, зубы начинают шататься и болеть;
- нарушенный прикус;
- патологии зубного сустава;
- абсцессы и опухоли, кисты;
- периодонтит – воспаление корня, сопровождается появлением кисты, которая увеличивается.
Болезненные ощущения не всегда появляются, поэтому пациенты часто затягивают лечение. Запущенный периодонтит приводит к флюсу и потере зуба.
Кроме этого без детального обследования не проводят чистку каналов, протезирование и имплантацию, костную пластику, ортодонтическое лечение.
Спасительная радиация
Вильгельм Ретген, занимаясь изучением свойств Х-лучей, опытным путём установил, что одни вещества способны поглощать излучение, а другие задерживать его или блокировать полностью. Чтобы зафиксировать это явление, учёный использовал фотопластину с изображением костей собственной руки. Именно этот снимок и стал первой рентгенограммой.
Открытие В. Рентгена обрело бешеную популярность не только среди учёных. Предприимчивые дельцы стали открывать специальные фотосалоны, где каждый желающий, заплатив определённую сумму, мог сделать снимок своего скелета. Некоторые мистически настроенные личности и вовсе приписывали рентгеновским лучам магические свойства, полагая, что с их помощью можно получить из свинца золото. Но со временем главной сферой применения открытия немецкого физика стала медицина.
В настоящее время основные принципы получения рентгеновских снимков практически не изменились. Сами снимки представляют собой своеобразные негативы, поэтому здоровые лёгкие, например, выглядят на рентгене чёрными, а воспалённый участок имеет более светлый оттенок. Проведение процедуры основано на использовании следующих свойств рентгеновских лучей:
- высокой проникающей способности;
- возможности вызывать светоотражение некоторых химических элементов;
- ионизирующего эффекта облучения.
Давление 100 на 100 (90 на 90, 70 на 70) что это значит, чем опасна маленькая разница между верхним и нижним давлением
Современной науке известны и негативные стороны воздействия на организм человека излишних доз радиации, которые являются причиной развития лучевой болезни (в острой или хронической форме).
Часты вопросы пациентов
Вреден ли рентген
Рентгенография основана на радиационном облучении. Это звучит достаточно угрожающе для простого обывателя. Тем временем дозу радиации каждый человек получает ежедневно, даже наши тела радиоактивны. Фоновый уровень радиации за день составляет 10 мкЗв (микрозивертов). Для получения 4 фото на прикусном рентгене пациент получает 20-51 мкЗв. Панорамное изображение дает 5-25 мкЗв. КЛКТ сопровождается большей лучевой нагрузкой, за один сеанс человек получает от 20 мкЗв до 700 мкЗв. Уровень излучений будет зависеть от настроек и типа аппарата, ширины изучаемой области.
Таким образом прямой угрозы в процедуре нет. Однако радионуклиды способны накапливаться, поэтому диагностику назначают с осторожностью. После сеанса рентгенолог должен записать, какое количестве зивертов получил больной, это даст возможность рассчитать следующую дозировку с минимальным ущербом для человека. После осмотра желательно есть больше моркови, яблок, редиса, фасоли и цитрусов. Эти продукты помогут вывести из организма радионуклиды.
Как часто его можно делать
Лучшие материалы месяца
- Почему нельзя самостоятельно садиться на диету
- 21 совет, как не купить несвежий продукт
- Как сохранить свежесть овощей и фруктов: простые уловки
- Чем перебить тягу к сладкому: 7 неожиданных продуктов
- Ученые заявили, что молодость можно продлить
Тип рентгенографии и ее частота зависит от состояния ротовой полости и сложности лечения. КЛКТ лучше делать не более 3 раз в год. Прикусные пленочные фото назначают не больше 7 раз в году, на новой технике применяется меньшие дозы облучения, поэтому цифровых диагностик может быть больше. Допустимой нормой считается 7 сеансов в год. При смене доктора не обязательно делать новые фотографии, достаточно взять с собой на прием те, которые уже есть. Если цифровые данные были утеряны, их можно запросить в той клинике, которая проводила обследование. Результаты КЛКТ хранятся до года в архиве медицинских центров.
Виды ретгена выполняемые на дому:
- рентген легких и бронхов
- рентген суставов
- рентген все отделов позвоночника — шейного, грудного, поясничного
- рентген костей таза
- рентген тазобедренного сустава
- рентген стопы
- ретген желудка и пищевода
- рентген грудной клетки
- рентген суставов
- рентген костей черепа
- рентген пазух носа
Вызов рентгенолога на дом.

